Blog

  • Herzlich willkommen auf meinem Blog.

    Herzlich willkommen auf meinem Blog.

    Nach drei Lungenentzündungen und einem gebrochenen Fuß nehme ich euch mit auf meinen Weg der Erholung auf Sylt.

    Hier geht es um kleine Schritte, frische Meerluft, neue Kraft und die Hoffnung, wieder frei durchatmen zu können.

    Schön, dass ihr mich auf diesem Weg begleitet.

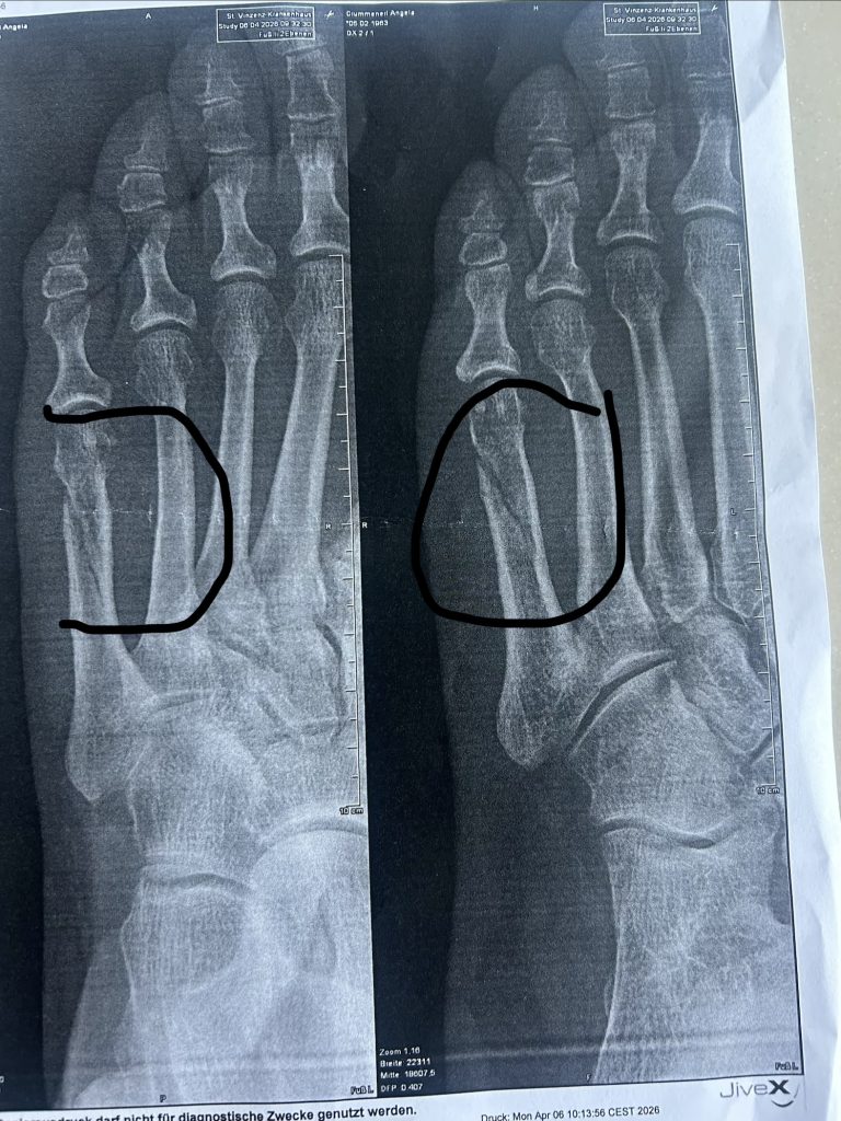
    Es war wie ein schlechter Film

    Am Abend vor unserer Abreise nach Sylt stand ich noch auf einer Trittleiter. Einen Moment später lag ich am Boden – mit gebrochenem Fuß. Nach drei Lungenentzündungen in kurzer Zeit fühlte es sich an, als würde mein Körper mir erneut Grenzen setzen. Doch am nächsten Morgen saß ich trotzdem im Auto Richtung Sylt.

    Zwischen Atemnot und Meeresluft – warum ich trotzdem nach Sylt gefahren bin

    Drei Lungenentzündungen in kurzer Zeit können einen Menschen nicht nur körperlich, sondern auch seelisch an seine Grenzen bringen. Genau so habe ich mich in den letzten Monaten gefühlt: erschöpft, kraftlos und manchmal auch mutlos. Jeder Atemzug erinnerte mich daran, dass mein Körper Zeit braucht, um wieder zu Kräften zu kommen.

    Der Plan stand deshalb schon lange fest: ein Monat auf Sylt.
    Meerluft, Ruhe, Lungensport und kleine Spaziergänge am Strand sollten mir helfen, wieder Kraft zu sammeln und langsam zurück ins Leben zu finden.

    Doch manchmal schreibt das Leben seine eigenen Geschichten.

    Am letzten Abend zu Hause, kurz vor der Abreise, passierte es: Ich stürzte von einer Trittleiter und brach mir den Fuß. In diesem Moment war da erst einmal nur Schock, Schmerz und die große Frage: Soll ich die Reise absagen?

    Nach allem, was hinter mir lag, fühlte sich dieser Unfall wie ein weiterer Rückschlag an. Drei Lungenentzündungen – und nun auch noch ein gebrochener Fuß.

    Trotzdem habe ich mich entschieden zu fahren.

    Vielleicht gerade deshalb.

    Denn manchmal braucht die Seele einen Ort zum Heilen, auch wenn der Körper noch nicht ganz mitmacht. Jetzt bin ich hier, erst einmal für ein paar Tage mit meinem Mann, und schon beim ersten Blick aufs Meer spüre ich, dass diese Entscheidung richtig war.

    Die salzige Luft, das Rauschen der Wellen und die Weite geben mir etwas zurück, das in den letzten Monaten verloren gegangen ist: Hoffnung.

    In diesem Blog möchte ich euch mitnehmen auf meinem Weg der Erholung – mit allen Höhen und Tiefen, kleinen Erfolgen, Rückschlägen und besonderen Momenten auf Sylt.

    Vielleicht hilft meine Geschichte auch anderen, die gerade selbst durch eine schwere Zeit gehen.